医療の
質向上に
貢献する。
私たちは、医用画像処理に特化したITスタートアップです。大学病院や学術機関との共同研究で、医療の現場で本当に役立つプロダクト開発に取り組んでいます。
最先端技術と現場の知見を掛け合わせ、医療の質向上に貢献する使いやすいプロダクトを医療現場に届けます。
私たちは、医用画像処理に特化したITスタートアップです。大学病院や学術機関との共同研究で、医療の現場で本当に役立つプロダクト開発に取り組んでいます。
最先端技術と現場の知見を掛け合わせ、医療の質向上に貢献する使いやすいプロダクトを医療現場に届けます。

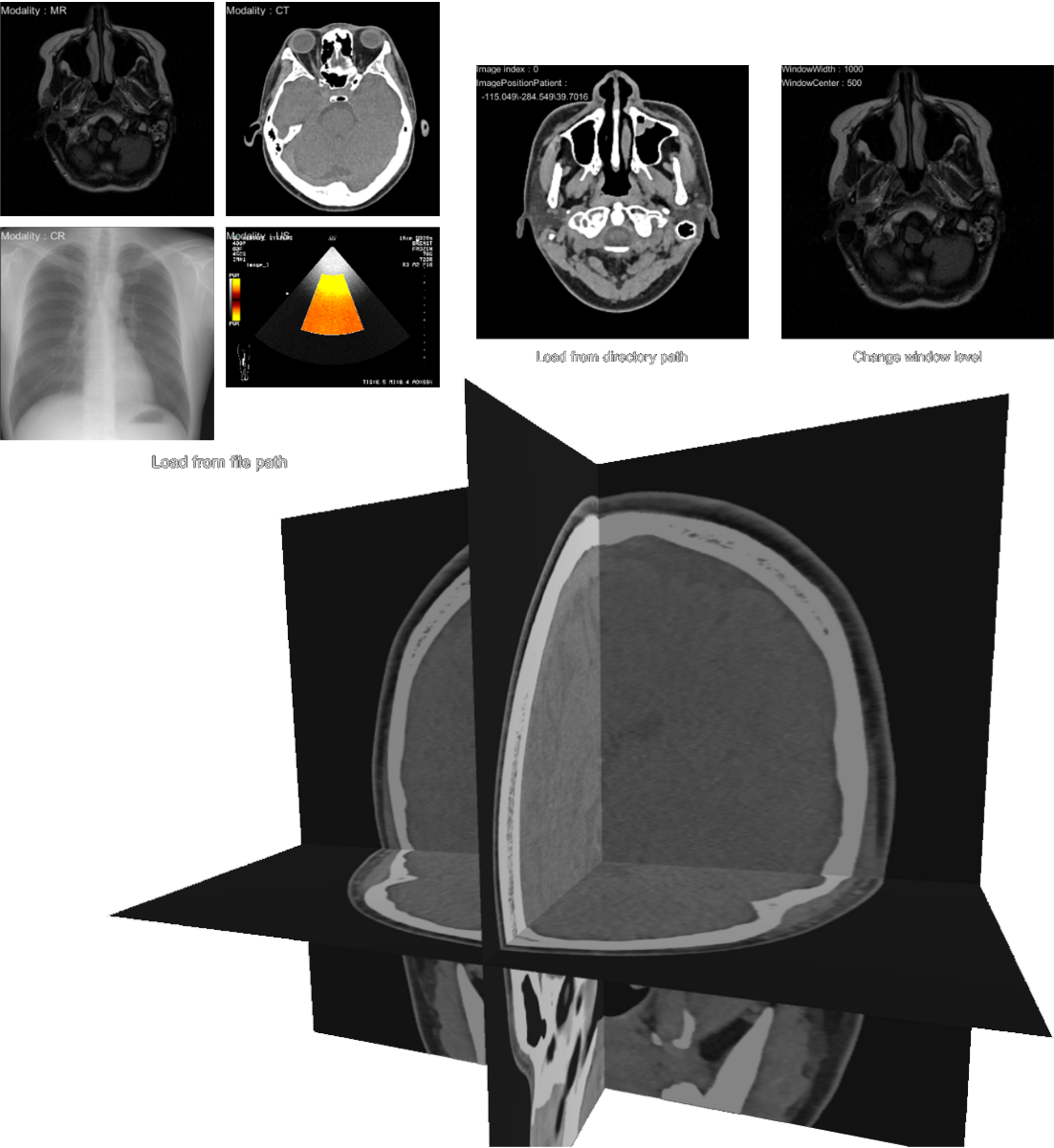
DICOMと3Dモデルの両方を表示できるアプリです。より簡単に医用画像を3次元的に閲覧できます

医療従事者の皆様の、学習・教育への活用を目的とした3次元アトラス。タブレット端末でご活用頂けます

医師と共同で開発したフリーのDICOMビューア。使いやすさを追求しました

マーチングキューブスアルゴリズム開発アセット。高速Marching cubesを実現しました

DICOM Loader開発アセット。研究にも、ビジネスにもご活用頂けます